In the realm of aesthetic dentistry, veneers epitomise the crowning glory of transformative smile makeovers. Imagine a painter meticulously adding the final strokes to a canvas, harmonising hues to create a masterpiece—this is the artistry of dental veneers. These ultra-thin porcelain shells not only mask imperfections but also breathe new life into weary smiles, elevating them to the realm of the extraordinary.
The allure of veneers lies in their remarkable ability to alter perception. A captivating smile, akin to an exquisite piece of jewellery, can significantly enhance an individual’s confidence and charisma. But what exactly are veneers? Simply put, they are custom-made porcelain or composite resin shells meticulously crafted to fit over the front surface of teeth. This process offers a multitude of aesthetic improvements, from correcting discolouration and chips to reshaping misaligned teeth.
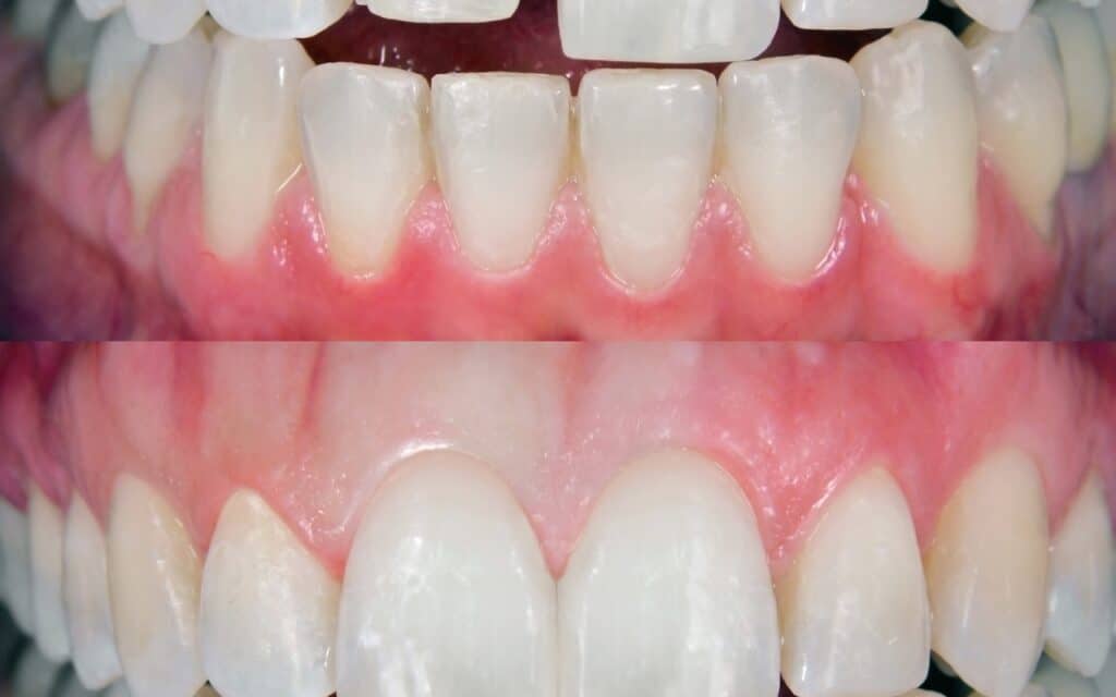
As we traverse the journey of veneers before and after transformations, we encounter a spectrum of remarkable stories—dental odysseys that reveal the profound psychological and emotional impact of a stunning smile. Each photograph captured before and after the procedure serves as a testament to the resounding change that adheres not just to the teeth, but also to the very essence of the individual.
Consider the case of an individual who, for years, has been self-conscious about their gapped teeth. Each smile feels like an act of bravery, akin to stepping onto a stage under the scrutinising gaze of an audience. The introduction of veneers can be likened to a seasoned director providing the perfect stage lighting, shifting attention away from imperfections and illuminating the charisma of the performer. After the treatment, the transformation is enthralling. The gaps have been adorned with beautifully sculpted porcelain, resulting in a smile that radiates confidence and joy.
Another compelling narrative revolves around those who have battled the unsightly discolouration caused by years of dietary choices or natural aging. Imagine a vibrant tapestry, its colours dulled over time. The application of veneers is akin to restoring that tapestry to its former brilliance, reviving hues that were once so vivid. Patients often report an immense psychological shift after their procedure, transitioning from feelings of embarrassment to a renewed sense of self and to frequently capturing their reflection with awe.
The influence of veneers stretches far beyond physical appearance. These transformations can lead to enhanced social interactions and improved personal relationships. A dazzling smile acts as a magnet, attracting positivity and fostering connection. This phenomenon illustrates the intrinsic value of aesthetics woven intricately with psychological well-being. A natural smile can unlock doors, release inhibitions, and allow individuals to fully embrace life’s offerings.
Yet, while the journey to a new smile is a captivating venture, it is indispensable to delineate the entire process—an odyssey attended by careful evaluation and meticulous planning. Before the application of veneers, a thorough consultation with a dental expert is essential. This stage resembles a conductor assembling an orchestra, ensuring each section is in harmony before the performance. Diagnostic imaging and 3D modelling may be employed to visualise the potential outcomes, allowing patients to articulate their dream smile with precision.
The actual procedure begins with the preparation of the teeth. This may involve a minor reduction of the tooth’s enamel to accommodate the veneer, a manoeuvre akin to trimming away excess fabric to create a tailored suit. Once the initial adjustments are made, impressions of the teeth are taken and sent to the laboratory for custom crafting. The meticulous nature of this phase draws parallels to a sculptor chiselling marble—each detail demands attention and passion.
After a period of anticipation, the veneers are ready for application. This stage is rife with excitement, akin to unveiling a long-awaited masterpiece. Once bonded securely to the enamel, patients often find themselves peering into the mirror with a sense of disbelief, as if witnessing a butterfly’s emergence from its chrysalis. The initial apprehensions vanish as the breathtaking results unfold before their eyes, unveiling a smile that captures the essence of the individual.
Nevertheless, like any captivating tale, the narrative of veneers comes accompanied by the responsibility of care and maintenance. The importance of oral hygiene cannot be overstated. While veneers are durable, they require the same diligence afforded to natural teeth. This includes regular brushing, flossing, and routine dental check-ups—each a commitment to preserving the intricate craftsmanship behind the veneer.
Moreover, as society evolves, so do preferences regarding cosmetic dentistry, leading to innovative advancements in veneer technology. The fusion of artistry and science is ever-expanding. New materials and techniques are emerging, offering even more options for customisation to every individual’s unique smile. The horizon gleams with promise, reflecting an enduring quest for beauty and authenticity.
In the theatre of life, who wouldn’t desire to be the star of their own show? With the transformative power of dental veneers, every individual has the potential to cultivate a captivating smile that resonates with their innermost aspirations. Through their use, smiles are not merely improved; they are reborn, revealing the soul’s true light. The stunning metamorphosis of a simple smile into a beacon of confidence is a reminder that we can all be the architects of our own happiness.










Leave a Comment